Computertomographie (CT)

Die Computertomographie ist ein bereits seit 1971 eingesetztes röntgentechnisches Verfahren, um Bilder vom Inneren des Körpers zu erhalten. Der entscheidende Vorteil gegenüber einer klassischen Röntgenuntersuchung liegt darin, dass die CT eine Körperregion Schicht für Schicht darstellen kann und dabei überlagerungsfreie Bilder liefert.

Wie funktioniert das? Das Röntgen-Aufnahmesystem im Inneren des CT- Scanners rotiert um den Patienten und erfasst das Untersuchungsgebiet vollständig. Anders als beim normalen Röntgen, wo zum Beispiel der gesamte Brustkorb auf einmal abgebildet wird, erfasst hier ein fächerförmiger Röntgenstrahl die zu untersuchende Körperregion schichtweise. Die dabei verwendete Röntgenstrahlung wird innerhalb des Körpers durch die verschiedenen vorhandenen Strukturen (z. B. Haut, Fett, Muskel, Organe, Knochen) unterschiedlich stark abgeschwächt und vom gegenüberliegenden Detekor erfasst. Aus den gewonnenen Daten können mit Hilfe eines Computers Bilder in allen drei Raumebenen errechnet werden. Diese Bilder können auf einem Bildschirm betrachtet und ausgewertet werden.

Die modernste Art der CT-Bilderzeugung ist die Mehrzeilen-Computertomographie (Multislice-Spiral-CT), d. h. pro Röhrenumlauf um den Patienten werden mehrere Schichten gleichzeitig aufgenommen. Der Vorteil dieser hochmodernen Geräte (Scanner) ist neben einer hohen Auflösung und sehr kurzen Untersuchungszeiten vor allem auch eine Reduzierung der Dosis an Röntgenstrahlen.

Die Computertomographie ermöglicht einen vielfältigen Einsatz. Es können Aufnahmen von Kopf bis Fuß in höchster Bildqualität erstellt werden. Eine Stärke der Methode liegt z. B. in ihrer Schnelligkeit. Deshalb wird sie häufig in der Notfalldiagnostik eingesetzt, aber auch bei der Darstellung von Körperbereichen, die ständig in Bewegung sind, wie z. B. die Lunge und das Herz. Außerdem eignet sie sich deshalb auch für die Untersuchung von schwer kranken, wenig belastbaren Patienten.

In folgenden Bereichen kommt die Computertomographie besonders häufig zum Einsatz:

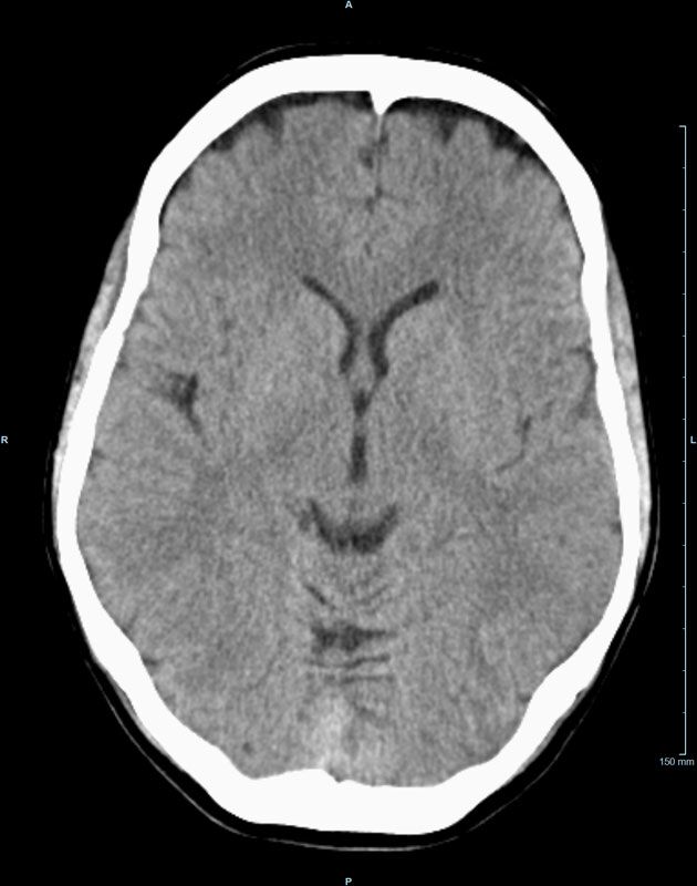
Kopf
  • Schlaganfalldiagnostik
  • Traumadiagnostik (Akutdiagnostik nach Verletzungen, Unfällen)
  • Nasennebenhöhlen (Entzündungen, Tumore)
Hals
  • entzündliche und tumoröse Prozesse der Halsorgane
  • Ausbreitungsdiagnostik bei anderen Tumorerkrankungen (sog. Staging)
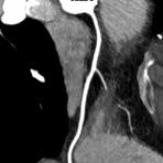
  • Darstellung der Blutgefäße (sog. CT- Angiographie)
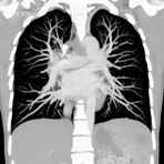
Thorax (Brustkorb)
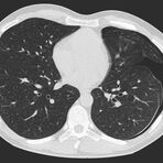
  • Entzündungen oder Tumore des Mediastinums und der Lunge
  • Lungenembolie- Diagnostik
  • hochauflösende Darstellung des Lungenparenchyms zur Abklärung chronischer interstitieller Erkrankungen wie z. B. Fibrosen, Emphysem, Bronchiektasen
Herz

Durchführung am Standort im Diakonissenkrankenhaus

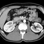
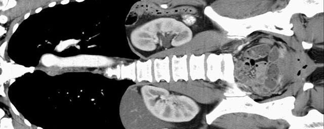
Abdomen (Bauch und Becken)
  • Diagnostik von entzündlichen und tumorösen Erkrankungen der Bauchorgane
  • Diagnostik von akuten Notfällen wie Darmverschluss, Hohlorganperforation oder Traumafolgen
  • Darstellung der großen Gefäße zur Erkennung von Gefäßverschlüssen (z. B. Mesenterial - Arterienembolie oder Einengungen von Gefäßen (z. B. Nierenarterien)
  • Darstellung und Therapieplanung von Aneurysmen (CT- Angiographie)
  • Virtuelle Kolonographie zur Darstellung des Dickdarmes z. B. bei Kontraindikation zur Darm-Spiegelung oder nur unvollständig durchführbarer Koloskopie.
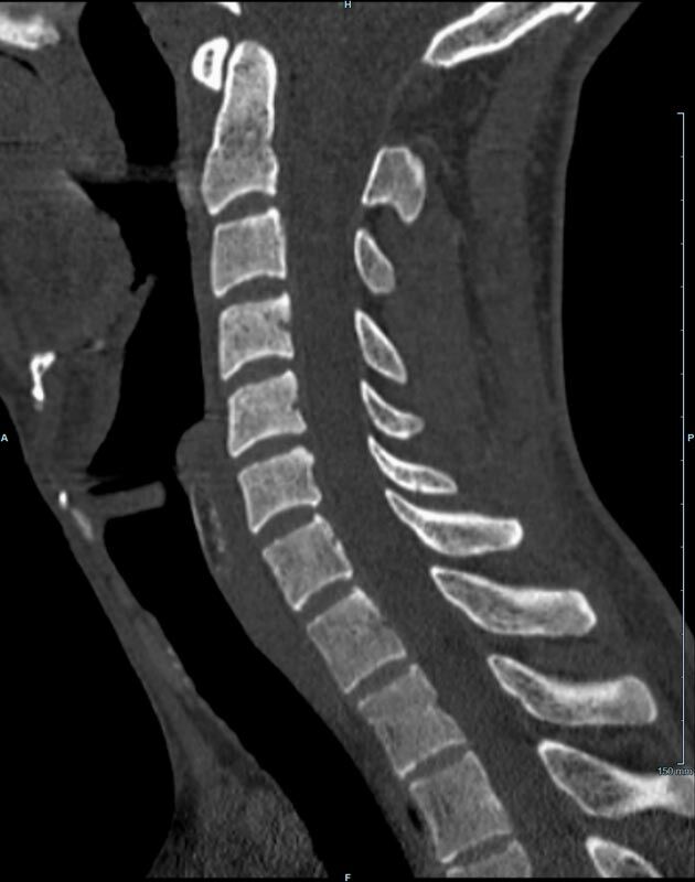
Wirbelsäule
  • Darstellung von Frakturen, Tumoren und Bandscheibenveränderungen
Extremitäten
  • bei komplizierten Frakturen z. B. in der Nähe von Gelenken oder im Bereich der Handwurzel und Fußwurzel
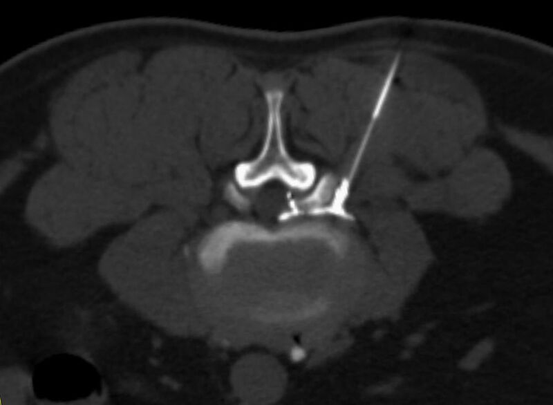
Interventionelle Eingriffe

Durchführung am Standort im Diakonissenkrankenhaus

  • z. B. Punktionen zur Gewebsentnahme
Schmerztherapie

Durchführung am Standort im Diakonissenkrankenhaus

(dazu mehr auf der Seite Schmerztherapie)

In manchen Fällen kann es erforderlich sein, zusätzlich zur CT noch andere Untersuchungsmethoden einzusetzen, um die Diagnostik korrekt und umfassend durchzuführen, z. B. eine Kernspintomographie oder eine Ultraschalluntersuchung. Wann dies erforderlich und sinnvoll ist, werden unsere radiologischen Fachärzte mit ihnen und ihrem überweisenden Arzt beraten.

Am Tag der Untersuchung sollten Sie sich etwas mehr Zeit nehmen. Es kann vorkommen, dass Notfall-Patienten eingeschoben werden müssen, deren Untersuchung nicht warten kann.

Sollte es z. B. bei einer Untersuchung des Bauchraumes erforderlich sein, Kontrastmittel in der Vorbereitungsphase zu trinken, so dauert dies ca. 45 Minuten, damit sich das Kontrastmittel gleichmäßig im Dünndarm und Dickdarm verteilen kann.
Sollte Kontrastmittel intravenös verabreicht werden, geschieht dies ohne wesentlichen Zeitverlust während der Untersuchung. Dazu wird dann auf der Untersuchungsliege eine Kanüle in die Armvene platziert.

Während der Untersuchung liegen sie auf einer Liege. Diese bewegt sich langsam durch die runde Öffnung des Computertomographen. Wichtig ist es, während der Untersuchung möglichst ruhig zu liegen. Bei der Untersuchung der Lunge und des Bauchraumes ist es erforderlich, kurz (10 - 20 Sekunden), die Luft anzuhalten, dazu erhalten Sie Atemkommandos.
Das Kontrastmittel wird während der Bewegung der Liege über einen Injektor in die Vene gespritzt, der die erforderliche KM-Menge in einer genau bestimmten Zeit und Geschwindigkeit in den Körper einbringen kann.

Der/die Röntgenassistent (-in) ist während der Untersuchung im Nebenraum. Er/Sie kann Sie sehen und spricht mit Ihnen über ein Lautsprechersystem.

Wie lange dauert die Untersuchung?

Die Zeitspanne für die Untersuchung hängt von der Größe des Untersuchungsbereiches ab. Einzelne Untersuchungen dauern nur wenige Sekunden (die der Lunge z. Bsp. ca. 7 bis 12 Sekunden). Einschließlich Lagerung auf der Untersuchungsliege und der Planung der Untersuchungsbereiche ist eine solche Untersuchung insgesamt meist nach 5 bis 10 Minuten beendet.

In Fällen, bei denen Kontrastmittel zum Einsatz kommen, sind jedoch Wartezeiten von ca. 45 Minuten vor und ca. 30 Minuten nach der Untersuchung nötig.

Nach Abschluss der Untersuchung benötigen wir einige Zeit für Bildberechnung sowie evtl. notwendige Zusatzberechnungen aus dem Bilddatensatz und natürlich für die Befunderstellung.

Ist die Untersuchung schmerzhaft oder schädlich?

Die Untersuchung ist nicht schmerzhaft. Neben der bereits erwähnten, sehr selten auftretenden allergischen Reaktion (siehe Kontrastmittel-Gabe) kommt es bei der Verabreichung des Kontrastmittels in das Blut häufiger zu einem Wärmegefühl im ganzen Körper.

Die Röntgenstrahlung wird aufgrund modernster Technik möglichst gering gehalten und vom Gerät automatisch an Gewebedicken- und Durchmesser angepasst. Für jeden Untersuchungsbereich werden speziell abgestimmte Programme verwendet, die die benötigte Strahlung auf ein absolutes, aber für die Diagnostik notwendiges Minimum reduzieren.

Was geschieht, wenn die CT-Untersuchung beendet ist?

Nach einer CT-Untersuchung können Sie Ihren üblichen Tätigkeiten in gewohnter Weise nachgehen.
Wenn während der Untersuchung intravenöses Kontrastmittel verabreicht wurde, sollten Sie nach der Untersuchung reichlich trinken (z. B. Tee, Mineralwasser, Saft), damit das Kontrastmittel schneller ausgeschieden werden kann. Bei Übelkeit, Durchfall, Unwohlsein, Hautausschlag, Schmerzen und anderen Beschwerden verständigen Sie bitte Ihren Arzt/Ärztin, auch wenn diese Beschwerden erst einige Tage nach der Untersuchung auftreten. Ist er/sie nicht erreichbar, rufen Sie bitte bei erheblichen Beschwerden den Notarzt.

Wann muss Kontrastmittel eingesetzt werden?

In manchen Fällen – vor allem bei der Untersuchung von Hals, Thorax und Abdomen – reicht das Darstellungsvermögen des Gerätes allein nicht aus, deshalb werden kontraststeigernde Mittel, sog. Kontrastmittel, in das Blut (zum Darstellen oder Abgrenzen von Gefäßen oder auch zur Unterscheidung von gesundem und krankem Gewebe) oder auch zum Trinken (zur besseren Abgrenzung des Magen-Darm-Traktes) verabreicht.

  • Intravenöses Kontrastmittel:
    Es handelt sich hierbei um gut verträgliche jodhaltige Substanzen, die Ihnen über eine Kanüle während der Untersuchung in eine Armvene injiziert werden. Dies geschieht über einen sogenannten Injektor, der eine bestimmte Menge Kontrastmittel in einer vorgegeben Zeit verabreicht, welche genau für die spezielle Fragestellung berechnet wurde.
  • Orale (Trink-) Kontrastmittel:
    Kontrastmittel, die getrunken werden, sollen helfen, den Darm gegen andere Organe, z. B. gegen Lymphknoten besser abzugrenzen. Es handelt sich dabei um jod- oder bariumhaltige Lösungen. Je nach Fragestellung sollen Sie vor der Untersuchung davon 0,5- 2 Liter trinken. Da der Darm sehr lang ist, dauert es ca. 40 Minuten bis 1 Stunde, bis die Darmschlingen vollständig kontrastiert sind. Es ist wichtig, das KM möglichst langsam und gleichmäßig zu trinken, damit sich alle Darmabschnitte gleichmäßig kontrastieren. Unser Personal wird Ihnen dies vor der Untersuchung genau erklären.

Welche Nebenwirkungen und Probleme können auftreten?

Bei der Applikation von intravenösen CT-Kontrastmitteln kann in sehr seltenen Fällen eine allergische Reaktion auf Kontrastmittel ausgelöst werden. Deshalb werden Sie von uns vor der Untersuchung auf bekannte Allergien (z. Bsp. Jodallergie) befragt. Bei der Allergie oder Überempfindlichkeit können vorübergehend Schwellung, Juckreiz, Niesen, Hautausschlag, Schwindel oder Erbrechen und ähnliche leichtere Reaktionen auftreten. Schwerwiegende Komplikationen im Bereich lebenswichtiger Funktionen (Herz, Kreislauf, Atmung, Nieren) sind äußerst selten. Bei einer bekannten Allergie können vor der Untersuchung prophylaktisch entsprechende Medikamente verabreicht werden. Das intravenöse Kontrastmittel wird während der Untersuchung mit Hilfe eines automatischen Injektors appliziert. Dabei können ein leichtes Wärmegefühl im Körper, ein trockener Geschmack im Mund sowie eine Gefühl des Wasserlassens auftreten. Nach der Injektion kann gelegentlich ein Bluterguss an der Einstichstelle auftreten. Nachblutungen, Infektionen sowie Nervenverletzungen sind selten.

Allergische Reaktionen auf das oral verabreichte Kontrastmittel sind nicht bekannt. Manchmal kann es zu einem leichten Durchfall kommen. Sollten Sie unter Darmreizungen leiden oder Träger eines künstlichen Darmausganges sein, informieren Sie bitte vorab das Anmelde- oder Untersuchungspersonal.

Vor der Untersuchung sollten Sie mit ihrem Arzt abklären, ob Allergien, Funktionsstörungen der Nieren oder Schilddrüse vorliegen. Die Frage nach Diabetes sollte ebenso gestellt werden. Ihr Arzt kann die erforderlichen Laborwerte durch eine Blutabnahme ermitteln.

Bitte bringen Sie am Untersuchungstag die wichtigsten Laborwerte mit:

  • TSH-Wert (Schilddrüsenfunktion)
  • Kreatinin-Wert oder GFR-Wert (Nieren-Funktion)

Sollte bei Ihnen eine Allergie, z. B. gegen Lebensmittel, Gräser, Pollen, Metalle etc. bestehen oder eine Allergie direkt gegen das Kontrastmittel bekannt sein, können vorsorglich Medikamente gegen eine allergische Reaktion gegeben werden. Im Allgemeinen werden diese über die Infusionsnadel, die für das Kontrastmittel benötigt wird, ca. 30 Minuten vor der Untersuchung verabreicht. Da diese Medikamente müde machen, sind einige Dinge zu beachten (Sie benötigen z. B. für den Heimweg eine Begleitung bzw. einen Fahrer).

Bei einigen der Untersuchungen ist es wichtig, dass Sie mit nüchternem Magen erscheinen. Das heißt, am Tag der Untersuchung bitte:

  • Keine Nahrungs- und Flüssigkeitsaufnahme
  • Nicht Rauchen! (Rauchen stimuliert die Magensaftproduktion)
  • Keine Bonbons, Kaugummis o.ä.
  • Keine Medikamente

In vielen Fällen ist es erforderlich, über eine Vene jodhaltiges Kontrastmittel zu verabreichen. Dieses Kontrastmittel wird über die Nieren ausgeschieden. Es ist deshalb von Vorteil, wenn Sie unmittelbar vor der Untersuchung mindestens 1/2 Liter Wasser oder Tee trinken, damit die Nieren optimal arbeiten können. Bitte bringen Sie sich also eine kleine Flasche Wasser am Untersuchungstag mit und trinken Sie diese im Wartezimmer.

Am Untersuchungstag bitte mitbringen:

  • Überweisungsschein
  • Chipkarte Ihrer Krankenkasse
  • Allergiepass
  • Lesebrille
  • aktuelle Laborwerte ( Kreatinin, TSH) bei erforderlicher Kontrastmittelgabe
  • eine kleine Flasche Wasser bei erforderlicher Kontrastmittelgabe

Bringen Sie am Untersuchungstag bitte möglichst auch Befunde und Aufnahmen von Voruntersuchungen der betreffenden Körperregion mit, die nicht in unserer Praxis erstellt wurden, damit wir die Ergebnisse vergleichen und zeitnah einen Befund fertig stellen können.

Standort am Diakonissenkrankenhaus Leipzig

Im August 2021 wurde an unserem Praxisstandort am Diakonissenkrankenhaus ein neuer, hochmoderner Computertomograph der Firma Siemens installiert.

Der Multislice-Scanner ermöglicht eine dem aktuellen Stand der Technik entsprechende, leitliniengerechte diagnostische Untersuchung sämtlicher Körperregionen. Darüber hinaus gestattet der neue Computertomograph auch eine für Arzt und Patient bequeme Durchführung CT-gestützter Interventionen wie z.B. Schmerztherapien der Wirbelsäule.

Eine wesentliche Neuerung gegenüber dem Vorgängermodell unserer Praxis ist zudem die Verwendung moderner Bildrekonstruktionsalgorithmen.  Dadurch kann die Belastung des Patienten mit Röntgenstrahlung im Vergleich zu älteren CT-Modellen bei gleicher Aussagekraft reduziert werden. Ein effizienter Untersuchungsablauf mit kurzer Scandauer, angenehmer Patientenlagerung und zugleich niedriger Geräuschemission sind nur einige weitere Vorteile des neuen Gerätes.

Standort am Rathaus Schönefeld

Unser neuer Canon-Computertomograph Aquilion Lightning SP

Seit August 2019 arbeiten wir am Standort Schönefeld mit einem hochmodernen 80-Zeilen-CT der Firma Canon.

Ganz auf Patientensicherheit ausgelegt werden mit diesem CT individuell für jeden Patienten automatisch Strahlendosis und Kontrastmittelmenge reduziert und gleichzeitig bestmöglicher Bildkontrast und eine hohe Detailauflösung erreicht.

Spezielle Software ermöglicht jetzt zum Beispiel:

  • verbesserte Bildqualität bei Patienten mit Implantaten (z. Bsp. Hüftendoprothesen)
  • besonders hochauflösende, strahlendosissparende Darstellung aller Skelettstrukturen
  • mehrdimensionale Darstellung vasculärer Strukturen mit zahlreichen Auswertungstools

Besonders angenehm werden von den Patienten die große Gantryöffnung von 78 cm, die breite Untersuchungsliege und die vergleichsweise geringe Geräuschentwicklung empfunden.